Inicio Enfermedades Venéreas VAGINOSIS BACTERIANA
VAGINOSIS BACTERIANA

Infecciones vaginales

VAGINOSIS BACTERIANA

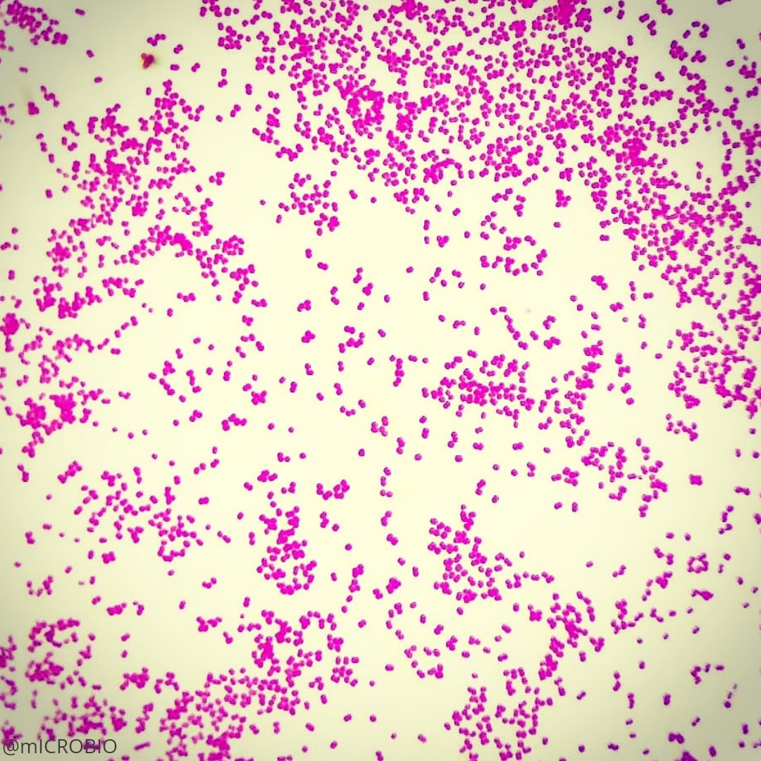
Gardnerella vaginalis

V
Es importante poder distinguir aquellas infecciones que tienen un origen venéreo, de aquellas que se producen sin que medien relaciones sexuales. Sus manifestaciones más frecuentes son un flujo de color gris y de mal olor, pero sin inflamar las paredes de la vagina. Conozca los síntomas, formas de diagnóstico, cómo afecta a los varones, tratamiento y pronóstico.

DAT0S GENERALES

La vaginosis bacteriana es una enfermedad que ataca los órganos genitales. No es una enfermedad venérea, pero la hemos incluido porque es una infección vaginal más frecuente. Se llama vaginosis porque, a diferencia de las vaginitis, no inflama las paredes de la vagina; solo provoca un flujo grisáceo y de mal olor.

¿Cómo se llama la bacteria que produce la vaginosis bacteriana?

Esta enfermedad es producida por varias bacterias; de ellas, la más conocida es la Gardnerella vaginalis, también llamada Haemophilus vaginalis. Esta bacteria pertenece a la familia de los Bifodobacterium.

FRECUENCIA

La infección por gardnerella es muy frecuente. Afecta predominantemente a las mujeres, y se la considera la principal causa de mal olor vaginal. Algunos autores reportan que hasta un tercio de las embarazadas cursa con esta afección.

CONTAGIO

¿Quiénes pueden sufrir una infección por gardnerella?

Todas las personas están expuestas a padecer de una vaginosis bacteriana, porque este germen es un habitante normal del cuerpo, que durante toda la vida es inofensivo y ayuda a mantener el nivel bacteriano adecuado. Sin embargo, ante ciertas situaciones, aumenta en número y genera las molestias características.

 MANIFESTACIONES

El Papanicolaou indica que tengo una gardnerella, pero yo no siento molestias.

Como hemos mencionado, la gardnerella normalmente está presente en nuestro cuerpo sin que nos percatemos de ella ni de sus beneficios. Esto es muy importante destacarlo, porque es común que se reporte en los exámenes de una persona sana. A pesar de la alarma por parte del paciente, solo se da tratamiento si existen molestias o hay repercusiones físicas.

¿Cuándo aparecen los síntomas?

Para que la gardnerella produzca molestias, es necesario un factor desencadenante que disminuya los niveles de unas bacterias llamadas lactobacilos y aumente el nivel de otras bacterias: los anaerobios. En esas condiciones, la gardnerella y otros gérmenes provocan vaginosis bacteriana. Entre los factores desencadenantes más frecuentes están:

• Embarazo
• Pastillas anticonceptivas
• Antibióticos
• Ambientes húmedos
• Enfermedades debilitantes
• Diabetes
• Enfermedades de transmisión sexual
• Estrés
• Higiene inadecuada
• Duchas vaginales
• Sobrepeso

 

¿Cuáles son los síntomas en la mujer?

El síntoma más evidente de la vaginosis bacteriana es el olor a pescado en el área vaginal. A menudo se acompaña de un flujo grisáceo, espumoso, a veces amarillento, que no irrita ni inflama las paredes vaginales ni los labios mayores y menores.

¿Cuáles son los síntomas en el hombre?

En la práctica diaria, es excepcional ver molestias por gardnerella en varones. Tal vez eso se deba a que el varón es resistente, o a que la bacteria cursa sin síntomas ni molestias en los hombres, o a que todavía desconocemos las repercusiones y manifestaciones en el sexo masculino.

En varones con problemas en las defensas, como los pacientes con sida, esta infección provoca ardor en el caño de la orina y una secreción grisácea con olor a pescado.

LA INFECCION POR GARDNERELLA Y EMBARAZO

¿La vaginosis bacteriana afecta el curso del embarazo?

Clásicamente, se ha descrito que la gardnerella no daña el curso del embarazo .

¿Cómo se sabe si una mujer embarazada tiene vaginosis por gardnerella?

El diagnóstico de vaginosis por gardnerella durante el embarazo se realiza con los mismos métodos que se utilizan en mujeres no embarazadas. El examen físico es la forma más usada para efectuar el diagnóstico.

¿La mujer embarazada que tiene gardnerella recibe el tratamiento durante el embarazo o posteriormente?

Este es una decisión que toma el médico. En la actualidad existen medicamentos que se pueden emplear durante el embarazo, por lo cual algunos autores recomiendan implementar el tratamiento apenas se cuenta con el diagnóstico.

DIAGNOSTICO

¿Cómo se diagnostica la gardnerella?

El diagnóstico suele ser muy simple. En general, los médicos estamos entrenados para realizar el diagnóstico con el simple examen físico, sin realizar ningún examen especial.

En caso de duda se puede efectuar un frotis, que consiste en tomar una muestra y analizarla al microscopio. También se puede realizar un cultivo. Existe adicionalmente una prueba sencilla: se agrega hidróxido de potasio a una muestra de la secreción; si la gardnerella está presente, despedirá un olor a pescado característico.

¿Existe alguna prueba en sangre?

No existe forma de determinar la presencia de gardnerella realizando pruebas sanguíneas. Sin embargo, por lo noble de la enfermedad y lo simple del tratamiento, no resulta necesaria.

TRATAMIENTO

¿Cuál es el tratamiento?

El tratamiento es sumamente sencillo y existen diversas presentaciones. Se puede tratar con medicamentos tomados, óvulos y cremas.

Cuando el episodio de molestias es aislado y único, se tiende a usar los óvulos y las cremas. En caso de recurrencia, es mejor utilizar los tratamientos vía oral y realizar estudios más profundos para detectar si hay alguna infección agregada de fondo.

COMPLICACIONES

¿Cuáles son las complicaciones si no se instaura el tratamiento?

Es muy raro que una vaginosis evolucione de manera tórpida y provoque cuadros mayores. Cuando esto ocurre, suele ser en pacientes debilitados, como los que padecen de sida.

PREVENCION

¿Cómo se pueden prevenir nuevos cuadros de vaginosis bacteriana?

Para evitar los episodios constantes y recurrentes, es fundamental determinar cuál factor está desencadenando la infección por gardnerella. Si es una diabetes, procede un mejor control en los niveles de azúcar. Si es una enfermedad venérea de fondo, se debe tratar de manera exhaustiva, y así sucesivamente con cada factor desencadenante.

¿El preservativo es eficaz para evitar los cuadros de vaginosis bacteriana?

Como esta infección no es una enfermedad venérea, las relaciones sexuales no juegan un papel estelar. En algunos casos el semen puede desencadenar una vaginosis bacteriana, situación en la que está indicado el uso del preservativo.

Si una persona presenta una vaginosis por gardnerella, ¿está protegida de un nuevo episodio?

Claro que no. La vaginosis suele presentarse en múltiples ocasiones, y no genera inmunidad o protección para un futuro episodio.

¿Existe alguna vacuna para evitar la vaginosis?

No existe ninguna vacuna para combatir esta vaginosis.

RELACION CON OTRAS ENFERMEDADES

¿La presencia de gardnerella se asocia a la presencia de alguna otra infección?

En un inicio, se creyó que la vaginosis bacteriana por gardnerella era una enfermedad de transmisión sexual. Hoy sabemos que no; pero según algunos reportes, es común que se asocie a la presencia de otras infecciones que sí son venéreas.

Esta es la razón por la cual algunos estudios recomiendan que en el paciente con vaginosis a repetición o cuando los cuadros no ceden en su totalidad con el tratamiento, se practiquen estudios completos de infecciones sexualmente transmisibles, entre ellas sida, virus del papiloma, herpes genital, hepatitis B, clamidia, gonorrea y sífilis.

¿Hay alguna relación entre el sida y la gardnerella?

El paciente con sida presenta con mayor facilidad cuadros recurrentes y recidivantes por gardnerella, y los síntomas suelen ser más intensos y molestos.

Deja una respuesta

Su dirección de correo electrónico no será publicada.

Abrir Chat
Hola
Quisiera ayuda por Whatsapp?